アレルギー性気管支肺アスペルギルス症 allergic bronchopulmonary aspergillosis
WordNet
- the blood group whose red cells carry both the A and B antigens (同)type_AB, group AB
Wikipedia preview
出典(authority):フリー百科事典『ウィキペディア(Wikipedia)』「2015/05/27 20:26:36」(JST)
[Wiki en表示]
ABPA may refer to:
- Allergic bronchopulmonary aspergillosis, a condition characterised by an exaggerated response of the immune system
- American Benefit Plan Administrators, a US-based employee benefits administration firm
UpToDate Contents
全文を閲覧するには購読必要です。 To read the full text you will need to subscribe.
English Journal
- Mannose-binding lectin genotype and serum levels in patients with chronic and allergic pulmonary aspergillosis.
- Harrison E, Singh A, Morris J, Smith NL, Fraczek MG, Moore CB, Denning DW.SourceThe National Aspergillosis Centre, The University Hospital of South Manchester, Manchester Academic Health Science Centre, The University of Manchester, Manchester, UK.
- International journal of immunogenetics.Int J Immunogenet.2012 Jun;39(3):224-32. doi: 10.1111/j.1744-313X.2011.01078.x. Epub 2012 Jan 9.
- Several studies suggest mannose-binding lectin (MBL) deficiency is associated with various manifestations of aspergillosis. MBL serum levels and function are genetically determined, but levels rise during inflammation. We address the relative frequency of deficient genotypes, the relationship betwee
- PMID 22225939
- Isolation of filamentous fungi from sputum in asthma is associated with reduced post-bronchodilator FEV(1).
- Agbetile J, Fairs A, Desai D, Hargadon B, Bourne M, Mutalithas K, Edwards R, Morley JP, Monteiro WR, Kulkarni NS, Green RH, Pavord ID, Bradding P, Brightling CE, Wardlaw AJ, Pashley CH.SourceDepartment of Infection, Immunity and Inflammation, Institute for Lung Health, University of Leicester, Leicester, UK; Department of Respiratory Medicine, Glenfield Hospital, Leicester, UK.
- Clinical and experimental allergy : journal of the British Society for Allergy and Clinical Immunology.Clin Exp Allergy.2012 May;42(5):782-91. doi: 10.1111/j.1365-2222.2012.03987.x.
- BACKGROUND: Fungal sensitization is common in severe asthma, but the clinical relevance of this and the relationship with airway colonization by fungi remain unclear. The range of fungi that may colonize the airways in asthma is unknown.OBJECTIVE: To provide a comprehensive analysis on the range of
- PMID 22515394
Japanese Journal
- P2-17-2 イトラコナゾール(ITCZ)が急性期に著効したアレルギー性気管支肺アスペルギルス症(ABPA)の2例(P2-17 好酸球性肺炎2,ポスターセッション,第23回日本アレルギー学会春季臨床大会)
- 長崎 忠雄,新実 彰男,松本 久子,伊藤 功朗,小熊 毅,中治 仁志,井上 英樹,岩田 敏之,田尻 智子,三嶋 理晃
- アレルギー 60(3・4), 497, 2011-04-10
- NAID 110008594674
- P1-15-1 アレルギー性気管支肺アスペルギルス症(ABPA)において,発症年齢による臨床的な違いはあるのか(P1-15 好酸球性肺炎1,ポスターセッション,第23回日本アレルギー学会春季臨床大会)
- 谷本 英則,谷口 正実,竹内 保雄,三井 千尋,武市 清香,福冨 友馬,関谷 潔史,押方 智也子,粒来 崇博,釣木澤 尚実,齋藤 明美,中澤 卓也,大友 守,前田 裕二,森 晶夫,長谷川 眞紀,秋山 一男
- アレルギー 60(3・4), 463, 2011-04-10
- NAID 110008594537
Related Links
- アレルギー性気管支肺アスペルギルス症 (ABPA) アレルギー性気管支肺アスペルギルス症とは かなり若年期から喘息様症状で始まり、何回か肺炎様の一過性浸潤を伴い、末期には慢性呼吸不全の状態になる 末期のX線像は広汎な ...
- 6)アレルギー性気管支肺アスペルギルス症(ABPA) アレルギー性気管支肺アスペルギルス症(allergic bronchopulmonary aspergillosis、ABPA)は1952年にHinsonによって報告された疾患です。 多くは気管支喘息や欧米では嚢 ...
Related Pictures





★リンクテーブル★
[★]
- 英
- eosinophilia
- 同
- 好酸球増加症、好酸球増加、好酸球増多症、好酸球性白血球増加症 eosinophilic leukocytosis
- 関
- 好酸球
[show details]
定義
- 好酸球増加症
好酸球増多をきたす疾患
QB.G-240
医学辞書
pocket medicine
誰も教えてくれなかった 血算の読み方・考え方
寄生虫疾患:旋毛虫症、条虫症、回虫症、日本住血吸虫症、肺吸虫症、ジストマ症、アニサキス症、フィラリア症
参考
- http://medical.radionikkei.jp/suzuken/final/030828html/index_2.html
[★]
- 英
- allergic bronchopulmonary aspergillosis, ABPA
- 関
- アレルギー
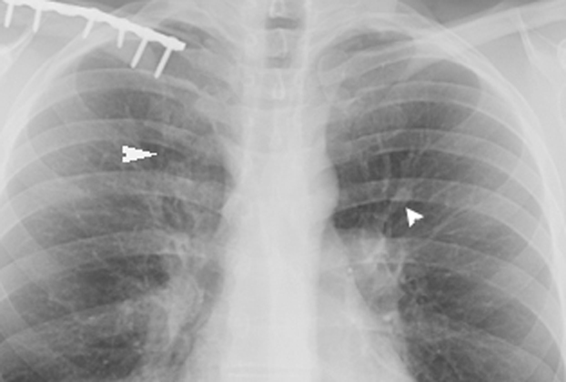
- 左上肺野の浸潤影、気管支拡張像
- 肉芽腫の形成、好酸球の浸潤
参考
- 1. [charged] アレルギー性気管支肺アスペルギルス症 - uptodate [1]
国試
[★]
アレルギー性気管支肺アスペルギルス症 ABPA
[★]
アレルギー性気管支肺アスペルギルス症 ABPA
[★]
allergic bronchopulmonary aspergillosis-seropositive
[★]
- 同
- asthmatic bronchitis, 喘息性気管支炎
[★]
アンドロゲン結合蛋白質