胚芽層出血
WordNet
- (geology) amass of fine-grained rock in which fossils, crystals, or gems are embedded
- mold used in the production of phonograph records, type, or other relief surface
- the body substance in which tissue cells are embedded (同)intercellular substance, ground_substance
- (mathematics) a rectangular array of quantities or expressions set out by rows and columns; treated as a single element and manipulated according to rules
- an enclosure within which something originates or develops (from the Latin for womb)
- the formative tissue at the base of a nail
- containing seeds of later development; "seminal ideas of one discipline can influence the growth of another" (同)originative, seminal
- seventh month of the Revolutionary calendar (March and April); the month of buds
PrepTutorEJDIC
- (複数形 matrices, ~・es)(発生・成長の)母体 / 鋳型・模型;(レコードの)原盤;(活字の)母型,字母 / (金属・化石・宝石などの含んだ)母岩・《古》子宮・基盤; (細胞)細胞間質; (地学)基質; (印)字母; 紙型; 鋳型; (鉱)母岩; (数)行列; (コンピュータ)マトリックス (入力導線と出力導線の回路網); (言)母型文 (matrix sentence)
- 芽の,胚(はい)種の / (発達の)初期段階の;原始の
- マトリクシング(4チャンネルに再生転換できる2チャンネルの録音方式)
- 出血,(特に)大量出血 / 多量に出血する
Wikipedia preview
出典(authority):フリー百科事典『ウィキペディア(Wikipedia)』「2014/11/03 23:43:07」(JST)
[Wiki en表示]
| Germinal matrix hemorrhage |
| Classification and external resources |
| ICD-10 |
P52 |
| ICD-9 |
772.11 |
| eMedicine |
radio/305 |
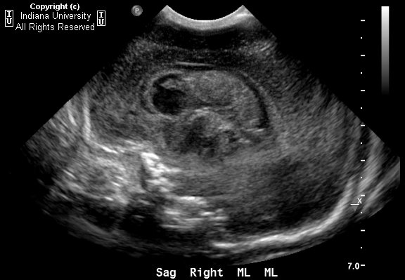
Germinal matrix hemorrhage is a bleeding into the subependymal germinal matrix with or without subsequent rupture into the lateral ventricle.
Contents
- 1 Pathophysiology
- 2 Clinical features
- 3 Grades
- 4 Treatment
- 5 See also
- 6 References
Pathophysiology
The germinal matrix is the site of proliferating neuronal and glial precursors in the developing brain, which is located above the caudate nucleus, in the floor of the lateral ventricle, and caudothalamic groove. The germinal matrix contains a rich network of fragile thin-walled blood vessels. Hence the microcirculation in this particular area is extremely sensitive to hypoxia and changes in perfusion pressure. It is most frequent before 35 weeks gestation and is typically seen in very low birth-weight (<1500g) premature infants,because they lack the ability for auto regulation of cerebral blood flow. Consequently increased arterial blood pressure in these blood vessels leads to rupture and hemorrhage into germinal matrix.
Clinical features
This may lead to various neurological sequelae including presentation with cerebral palsy, mental retardation and seizures.
Grades
Four grades are distinguished (by imaging or histology):
- grade I - hemorrhage is confined to the germinal matrix
- grade II - intraventricular hemorrhage without ventricular dilatation
- grade III - intraventricular hemorrhage with ventricular dilatation
- grade IV - intraventricular rupture and hemorrhage into the surrounding white matter
Treatment
Antenatal corticosteroids have a role in reducing incidence of germinal matrix hemorrhage in premature infants.
See also
- Ganglionic eminence, a part of the germinal matrix
References
- Enzmann D, Murphy-Irwin K, Stevenson D, Ariagno R, Barton J, Sunshine P (1985). "The natural history of subependymal germinal matrix hemorrhage". Am J Perinatol 2 (2): 123–33. doi:10.1055/s-2007-999929. PMID 3913430.
- Papile LA, Burstein J,Burstein R, Koffler H. Incidence and evolution of subependymal and intraventricular hemorrhage: A study of infants withbirth weight less than 1,500 gm. J Pediatr 1978;92:529-34.
- Alan Leviton, Karl C. Kuban, Linda Van Marter, Marcello Pagano, and Elizabeth N. Allred. Antenatal Corticosteroids Appear to Reduce the Risk of Postnatal Germinal Matrix Hemorrhage in Intubated Low Birth Weight Newborns Pediatrics, Jun 1993; 91: 1083 - 1088.
|
Certain conditions originating in the perinatal period / fetal disease (P, 760–779)
|
|
Maternal factors and
complications of pregnancy,
labour and delivery |
| placenta: |
- Placenta praevia
- Placental insufficiency
- Twin-to-twin transfusion syndrome
|
|
| chorion/amnion: |
|
|
| umbilical cord: |
- Umbilical cord prolapse
- Nuchal cord
- Single umbilical artery
|
|
|
Length of gestation
and fetal growth |
- Small for gestational age/Large for gestational age
- Preterm birth/Postmature birth
- Intrauterine growth restriction
|
|
| Birth trauma |
- scalp
- Cephalhematoma
- Chignon
- Caput succedaneum
- Subgaleal hemorrhage
- Brachial plexus lesion
- Erb's palsy
- Klumpke paralysis
|
|
| By system |
| Respiratory |
- Intrauterine hypoxia
- Infant respiratory distress syndrome
- Transient tachypnea of the newborn
- Meconium aspiration syndrome
- pleural disease
- Pneumothorax
- Pneumomediastinum
- Wilson–Mikity syndrome
- Bronchopulmonary dysplasia
|
|
| Cardiovascular |
- Pneumopericardium
- Persistent fetal circulation
|
|
Haemorrhagic and
hematologic disease |
- Vitamin K deficiency
- Haemorrhagic disease of the newborn
- HDN
- ABO
- Anti-Kell
- Rh c
- Rh D
- Rh E
- Hydrops fetalis
- Hyperbilirubinemia
- Kernicterus
- Neonatal jaundice
- Velamentous cord insertion
- Intraventricular hemorrhage
- Germinal matrix hemorrhage
- Anemia of prematurity
|
|
| Digestive |
- Ileus
- Necrotizing enterocolitis
- Meconium peritonitis
|
|
Integument and
thermoregulation |
- Erythema toxicum
- Sclerema neonatorum
|
|
| Nervous system |
- Periventricular leukomalacia
|
|
| Musculoskeletal |
- Gray baby syndrome
- muscle tone
- Congenital hypertonia
- Congenital hypotonia
|
|
|
| Infectious |
- Vertically transmitted infection
- Congenital rubella syndrome
- Neonatal herpes simplex
- Omphalitis
- Neonatal sepsis
- Group B streptococcal infection
- Neonatal conjunctivitis
|
|
| Other |
- Perinatal mortality
- Stillbirth
- Infant mortality
- Neonatal withdrawal
|
|
|
|
|
UpToDate Contents
全文を閲覧するには購読必要です。 To read the full text you will need to subscribe.
English Journal
- The premature brain: developmental and lesional anatomy.
- Raybaud C, Ahmad T, Rastegar N, Shroff M, Al Nassar M.SourceDivision of Neuroradiology, Hospital for Sick Children, 555 University Avenue, Toronto, ON, M5G1X8, Canada, charles.raybaud@sickkids.ca.
- Neuroradiology.Neuroradiology.2013 Sep;55 Suppl 2:23-40. doi: 10.1007/s00234-013-1231-0. Epub 2013 Jul 7.
- INTRODUCTION: Neurodevelopmental outcome in prematures who suffer from a neonatal brain injury depends on the lesion itself, and on how the lesion interferes with the still developing functional anatomy.METHODS: Most of the neuronal migration is completed by midgestation. The second part of the gest
- PMID 23832006
- Neonatal disorders of germinal matrix.
- Raets MM, Dudink J, Govaert P.SourceDepartment of Neonatology .
- The journal of maternal-fetal & neonatal medicine : the official journal of the European Association of Perinatal Medicine, the Federation of Asia and Oceania Perinatal Societies, the International Society of Perinatal Obstetricians.J Matern Fetal Neonatal Med.2013 Aug 23. [Epub ahead of print]
- Abstract The germinal matrix (GM) is a richly vascularized, transient layer near the ventricles. It produces neurons and glial cells, and is present in the foetal brain between 8 and 36 weeks of gestation. At 25 weeks, it reaches its maximum volume and subsequently withers. The GM is vulnerable to h
- PMID 23968365
- From germinal matrix to cerebellar haemorrhage.
- Fumagalli M, Bassi L, Sirgiovanni I, Mosca F, Sannia A, Ramenghi LA.SourceNICU, Department of Clinical Sciences and Community Health, Fondazione IRCCS Ca' Granda Ospedale Maggiore Policlinico, Università degli Studi di Milano , Milan , Italy and.
- The journal of maternal-fetal & neonatal medicine : the official journal of the European Association of Perinatal Medicine, the Federation of Asia and Oceania Perinatal Societies, the International Society of Perinatal Obstetricians.J Matern Fetal Neonatal Med.2013 Aug 23. [Epub ahead of print]
- Abstract For many years cerebellar development after preterm birth has been poorly investigated and has been studied without taking germinal matrix-intraventricular haemorrhage into account. Advanced neuroimaging techniques like magnetic resonance imaging, as well as the use of various acoustic wind
- PMID 23968333
Japanese Journal
- 新生児頭蓋内出血をめぐる諸問題(<特集>小児脳神経外科における諸問題)
- 師田 信人,荻原 英樹,上甲 眞宏
- 脳神経外科ジャーナル 20(11), 790-801, 2011-11-20
- 新生児頭蓋内出血の諸問題点につき,早産低出生体重児・成熟児に分けて検討した.新生児では血管脆弱性・止血凝固機能の未熟性のため,頭蓋内出血を発症すると重症化しやすい.特に胚芽層は胎生24〜32週にかけて存在するが,血流豊富なだけでなく血行力学的弱点も有し,早産低出生体重児脳室内出血の出血源となる.出血の機序・好発部位は,早産低出生体重児と成熟児で大きく異なる.前者では胚芽層からの脳室上衣下〜脳室内出 …
- NAID 110008762357
- 低酸素性虚血性脳症 (特集 脳・神経系の画像診断) -- (疾患各論)
Related Links
- Germinal Matrix Hemorrhage Imaging. Germinal matrix hemorrhage (GMH) and intraventricular hemorrhage (IVH) are the most common and most important neurologic injuries in preterm neonates. ... In the first 3 days ...
- Brain hemorrhage and white matter lesions in premature infants ... GMH usually develops a few hours after birth, but it can occur at any time, including prenatally. The germinal matrix is a thick cellular layer of immature cells ...
Related Pictures





★リンクテーブル★
[★]
- 英
- germinal matrix hemorrhage
- 同
- 脳室上衣下胚芽層出血
- 関
- 脳室周囲出血
[★]
- 関
- embryo、embryonic、germ
[★]
- 関
- bleeding