円鋸歯、円鋸歯状
- 関
- crenate
WordNet
- having a margin with rounded scallops (同)crenated, scalloped
Wikipedia preview
出典(authority):フリー百科事典『ウィキペディア(Wikipedia)』「2018/02/02 16:59:09」(JST)
[Wiki en表示]
Diagram of a crenated leaf
Crenation (from modern Latin crenatus meaning 'scalloped or notched', from popular Latin crena meaning 'notch')[1] in botany and zoology, describes an object's shape, especially a leaf or shell, as being round-toothed or having a scalloped edge.[1]
The descriptor can apply to objects of different types, including cells, where one mechanism of crenation is the contraction of a cell after exposure to a hypertonic solution, due to the loss of water through osmosis.[2]:229-230 In a hypertonic environment, the cell has a lower concentration of solutes than the surrounding extracellular fluid, and water diffuses out of the cell by osmosis, causing the cytoplasm to decrease in volume. As a result, the cell shrinks and the cell membrane develops abnormal notchings. Pickling cucumbers and salt-curing of meat are two practical applications of crenation.[2]:229
Plasmolysis is the term which describes plant cells when the cytoplasm shrinks from the cell wall in a hypertonic environment. In plasmolysis, the cell wall stays intact, but the plasma membrane shrinks and the chloroplasts of the plant cell concentrate in the center of the cell.
Contents
- 1 Red blood cells
- 2 See also
- 3 References
- 4 External links
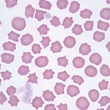
Red blood cells
In (d) the RBCs are rendered crenated from a hypertonic solution
Crenation is also used to describe a feature of red blood cells. These erythrocytes look as if they have projections extending from a smaller central area, like a spiked ball. The crenations may be either large, irregular spicules of acanthocytes, or smaller, more numerous, regularly irregular projections of echinocytes.[3] Acanthocytes and echinocytes may arise from abnormalities of the cell membrane lipids or proteins, or from other disease processes, or as an ex vivo artifact.
See also
- Crenellation
- Cytorrhysis
- Hemolysis
- Plasmolysis
References
- ^ a b "Crenate". Oxford Dictionaries.
- ^ a b Stoker, HS (2012). General, Organic, and Biological Chemistry (6th ed.). ISBN 978-1133103943.
- ^ Kaushansky, K; Lichtman, M; Beutler, E; Kipps, T; Prchal, J; Seligsohn, U. (2010). Williams Hematology (8th ed.). McGraw-Hill. ISBN 978-0071621519.
External links
- Image from Cornell.edu
- Crenation at medical-dictionary.thefreedictionary.com
English Journal
- The effects of insufflation conditions on rat mesothelium.
- Davey AK, Hayward J, Marshall JK, Woods AE.Author information Research Centre for the Molecular Basis of Disease, Griffith Health Institute, Griffith University, Gold Coast, QLD 4222, Australia ; School of Pharmacy and Medical Science, University of South Australia, Adelaide, SA 5001, Australia.AbstractAim. The aim of this investigation was to examine the alterations in the peritoneum after cold dry CO2, heated dry CO2, and humidified heated CO2 at pressures equivalent to intraperitoneal pressures used in human laparoscopy. Methods. Eighteen rats were divided into 4 treatment groups-group 1: untreated control; group 2: insufflation with cold dry CO2; group 3: insufflation with heated, dry CO2; group 4: insufflation with heated and humidified CO2. The abdomen was insufflated to 5 mm/Hg (flow rate 50 mL/min) for 2 h. Twelve hours later, tissue samples were collected for analysis by light microscopy (LM) and scanning electron microscopy (SEM). Results. Group 1: no abnormalities were detected. Group 2: specimens revealed an inflammatory response with loss of mesothelium and mesothelial cell nuclei showing lytic change. Cells were rounded with some areas of cell flattening and separation. Group 3: some animals showed little or no alteration, while others had a mild inflammatory response. Mesothelial cells were rounded and showed crenation on the exposed surface. Group 4: specimens showed little change from the control group. Conclusions. The LM results indicate that insufflations with heated, humidified CO2 are the least likely to induce mesothelial damage.
- International journal of inflammation.Int J Inflam.2013;2013:816283. doi: 10.1155/2013/816283. Epub 2013 Jun 24.
- Aim. The aim of this investigation was to examine the alterations in the peritoneum after cold dry CO2, heated dry CO2, and humidified heated CO2 at pressures equivalent to intraperitoneal pressures used in human laparoscopy. Methods. Eighteen rats were divided into 4 treatment groups-group 1: untre
- PMID 23864985
- Some pharmaceutical and inclusion properties of 2-hydroxybutyl-β-cyclodextrin derivative.
- Ishiguro T, Morishita E, Iohara D, Hirayama F, Wada K, Motoyama K, Arima H, Uekama K.Author information Faculty of Pharmaceutical Sciences, Sojo University, 4-22-1 Ikeda, Kumamoto 860-0082, Japan.Abstract2-Hydroxybutyl-β-cyclodextrins (HB-β-CyDs) with different degrees of substitution (D.S.) were prepared and their physicochemical and biological properties and solubilizing abilities were studied and compared with those of 2-hydroxypropyl-β-cyclodextrin (HP-β-CyD). The surface activity of HB-β-CyD was higher than that of HP-β-CyD (D.S. 5.6) and increased with its concentration and D.S. The moisture sorption of HB-β-CyD (D.S. 5.5) was less than that of HP-β-CyD (D.S. 5.6), because of the introduction of hydrophobic hydroxybutyl groups in a molecule. The hemolytic activity (rabbit erythrocytes) decreased in the order of 2,6-di-O-methyl-β-cyclodextrin (DM-β-CyD)>methyl-β-cyclodextrin (M-β-CyD)>HB-β-CyD (D.S. 5.5)>β-CyD>HP-β-CyD (D.S. 5.6). The hemolytic activity of HB-β-CyD increased with D.S. and HB-β-CyD induced echinocyte (or crenation), as well as DM-β-CyD does. It was suggested from the solubility study of membrane components that HB-β-CyD interacted predominantly with cholesterol in erythrocytes, resulting in the hemolysis. The inclusion ability of HB-β-CyD was higher than that of HP-β-CyD (D.S. 5.6), especially for poorly water-soluble drugs with long linear structures such as biphenylylacetic acid and flurbiprofen (FP). For example, HB-β-CyD formed the inclusion complex with FP in a molar ratio of 1:1, by including the biphenyl moiety in the host cavity. The dissolution rate of FP/HB-β-CyD (D.S. 5.5) complex was faster than that of HP-β-CyD (D.S. 5.6) complex. The results suggested that HB-β-CyDs have considerable pharmaceutical potential and can work as a fast-dissolving carrier for poorly water-soluble drugs.
- International journal of pharmaceutics.Int J Pharm.2011 Oct 31;419(1-2):161-9. doi: 10.1016/j.ijpharm.2011.07.044. Epub 2011 Aug 5.
- 2-Hydroxybutyl-β-cyclodextrins (HB-β-CyDs) with different degrees of substitution (D.S.) were prepared and their physicochemical and biological properties and solubilizing abilities were studied and compared with those of 2-hydroxypropyl-β-cyclodextrin (HP-β-CyD). The surface activity of HB-β-C
- PMID 21839823
- Ameliorative role of atorvastatin on methionine-induced hyperhomocysteinemia and hematological changes in albino rats.
- Bhandari U, Pathan RA, Kumar V, Khanna N.Author information Department of Pharmacology, Faculty of Pharmacy, Hamdard University, New Delhi 110 062, India. uma_bora@hotmail.comAbstractMethionine (1g/kg, po) administration to pathogenic control rats for 30 days significantly increased the levels of homocysteine, total cholesterol (TC), low density lipoprotein (LDL-C), very low density lipoprotein (VLDL-C) and triglycerides (TGs) and decreased the levels of high density lipoprotein (HDL-C) in serum. Hematological observations of the peripheral blood smears of pathogenic rats fed with methionine also showed crenation of RBCs cell membrane and significant increase in total leukocyte count, differential leukocyte count and platelet counts with significant decrease in the mean hemoglobin levels as compared to vehicle control rats. Administration of atorvastatin (0.2 mg/kg/po) to hyperhomocysteinemic rats significantly decreased the levels of homocysteine, TC, TGs, LDL-C and VLDL-C and increased the levels of HDL-C in serum. The present results provide clear evidence that oral treatment with atorvastatin exhibit homocysteine and lipid lowering activity and also reversal of hematological changes induced by methionine in albino rats.
- Indian journal of experimental biology.Indian J Exp Biol.2011 Feb;49(2):132-9.
- Methionine (1g/kg, po) administration to pathogenic control rats for 30 days significantly increased the levels of homocysteine, total cholesterol (TC), low density lipoprotein (LDL-C), very low density lipoprotein (VLDL-C) and triglycerides (TGs) and decreased the levels of high density lipoprotein
- PMID 21428215
Japanese Journal
- 傍腎動脈腹部大動脈瘤破裂手術における中枢側大動脈断端形成方法の工夫
- 廣岡 茂樹,外田 洋孝,折田 博之
- 日本血管外科学会雑誌 21(4), 633-635, 2012
- 傍腎動脈腹部大動脈瘤(JR-AAA)破裂の手術は到達経路,遮断部位,臓器保護の方法などの手技が複雑となり,手術死亡率が高率となる.今回われわれはJR-AAA破裂と診断された83歳,男性に対し大動脈瘤中枢側断端を形成することで,吻合部径を50 mmから22 mmに縮小し,吻合部を強化することに成功したので具体的方法および問題点について考察し報告する.
- NAID 130004490441
- Normovolemic Hemodilution : An Effective Method for Limiting Postoperative Transfusion Following Complex Lumbar Spinal Decompression with Instrumented Fusion
- EPSTEIN Nancy E.,PELLER Abraham,BOUTROS Ashray,KOREFF Jeff,DECROSTA Don,SCHMIGELSKI Carl,GRECO Joseph
- 脊髄外科 : 日本脊髄外科研究会機関誌 = Spinal surgery : official journal of the Japanese Society of Spinal Surgery 18(3), 179-187, 2004-11-30
- … Risks associated with autologous or homologous blood transfusion include receiving the wrong unit, the potential for predonated blood contamination or infection in homologous blood, the progressive crenation of red corpuscles maintained over weeks prior to surgery, and the loss of coagulation factors and platelets. …
- NAID 110002953363
- Normovolemic Hemodilution::An Effective Method for Limiting Postoperative Transfusion Following Complex Lumbar Spinal Decompression with Instrumented Fusion
- Epstein Nancy E.,Peller Abraham,Boutros Ashray,Koreff Jeff,DeCrosta Don,Schmigelski Carl,Greco Joseph
- 脊髄外科 18(3), 179-187, 2004
- … Risks associated with autologous or homologous blood transfusion include receiving the wrong unit, the potential for predonated blood contamination or infection in homologous blood, the progressive crenation of red corpuscles maintained over weeks prior to surgery, and the loss of coagulation factors and platelets. …
- NAID 130004484938
Related Pictures





★リンクテーブル★
[★]
- 英
- crenation、crenate
- 関
- 円鋸歯
[★]
- 関
- crenation
[★]
- 英
- crenation
- 関
- 円鋸歯状