- 英
- Hodgkin
WordNet
- English physiologist who, with Andrew Huxley, discovered the role of potassium and sodium atoms in the transmission of the nerve impulse (1914-1998) (同)Alan Hodgkin, Sir Alan Hodgkin, Alan Lloyd Hodgkin
- English chemist (born in Egypt) who used crystallography to study the structure of organic compounds (1910-1994) (同)Dorothy Hodgkin, Dorothy Mary Crowfoot Hodgkin
- English physician who first described Hodgkins disease (1798-1866) (同)Thomas Hodgkin
Wikipedia preview
出典(authority):フリー百科事典『ウィキペディア(Wikipedia)』「2015/08/23 16:20:00」(JST)
[Wiki ja表示]
ホジキン(Hodgkin)は、英語圏の姓。
- アラン・ロイド・ホジキン - イギリスの生理学者、生物物理学者。
- トーマス・ホジキン - イギリスの内科医。ホジキンリンパ腫に名を残す。
- ドロシー・ホジキン - イギリスの生化学者、化学者、結晶学者。
- ホジキン (小惑星) - 小惑星帯の小惑星。ドロシー・ホジキンにちなむ。
|
このページは人名(人物)の曖昧さ回避のためのページです。同名の人物に関する複数の記事の水先案内のために、同じ人名を持つ人物を一覧にしてあります。お探しの人物の記事を選んでください。このページへリンクしているページを見つけたら、リンクを適切な項目に張り替えてください。 |
UpToDate Contents
全文を閲覧するには購読必要です。 To read the full text you will need to subscribe.
Japanese Journal
- 安並 毅,吉永 健太郎,風間 啓至,志関 雅幸,森 直樹,寺村 正尚,泉二 登志子,YASUNAMI Takeshi,YOSHINAGA Kentaro,KAZAMA Hiroshi,SHISEKI Masayuki,MORI Naoki,TERAMURA Masanao,MOTOJI Toshiko
- 東京女子医科大学雑誌 83(E2), E622-E627, 2013-03-31
- … 脳MRにて右側の小脳脚、小脳半球、橋、中脳、視床下部、視床に病変を認め開頭生検術にて非ホジキンリンパ腫(diffuse large B-cell type)と診断され、メトトレキサート大量療法を含む化学療法を開始された。 …
- NAID 110009575076
- 多発病変を認めた両側副腎原発非ホジキンリンパ腫(MALT型)の1例
- 榎本 有希,兒玉 聖子,浅野 千尋,増田 道彦,ENOMOTO Yuki,KODAMA Shoko,ASANO Chihiro,MASUDA Michihiko
- 東京女子医科大学雑誌 83(E2), E612-E616, 2013-03-31
- … ,【考察】悪性リンパ腫はしばしば副腎への浸潤をきたすが、副腎に原発する非ホジキンリンパ腫は非常に稀で、非ホジキンリンパ腫の1%以下の頻度と言われている。 … ,またMALTリンパ腫は多彩な節外病変を認めるが、今回、両側副腎・肺・海綿静脈洞など全身にわたる多発病変を認めた両側副腎原発非ホジキンリンパ腫(MALT)の症例を経験したため報告する。 …
- NAID 110009575074
- 非ホジキンリンパ腫の治療後に急性巨核芽球性白血病として発症した治療関連急性骨髄性白血病
- 兒玉 聖子,浅野 千尋,増田 道彦,KODAMA Shoko,ASANO Chihiro,MASUDA Michihiko
- 東京女子医科大学雑誌 83(E2), E604-E607, 2013-03-31
- 症例は40歳男性。37歳時にanaplastic largecell lymphoma を発症し、拡張型心筋症の合併があることから放射線療法を行った。しかし照射中に表在リンパ節の増大を認めたため、M-COP 療法(cyclophosphamide, vincristine, mitoxantrone, prednisolone)に治療を変更し 8 コース施行した。化学療法終了後1ヶ月で再発し、IC …
- NAID 110009575072
Related Links
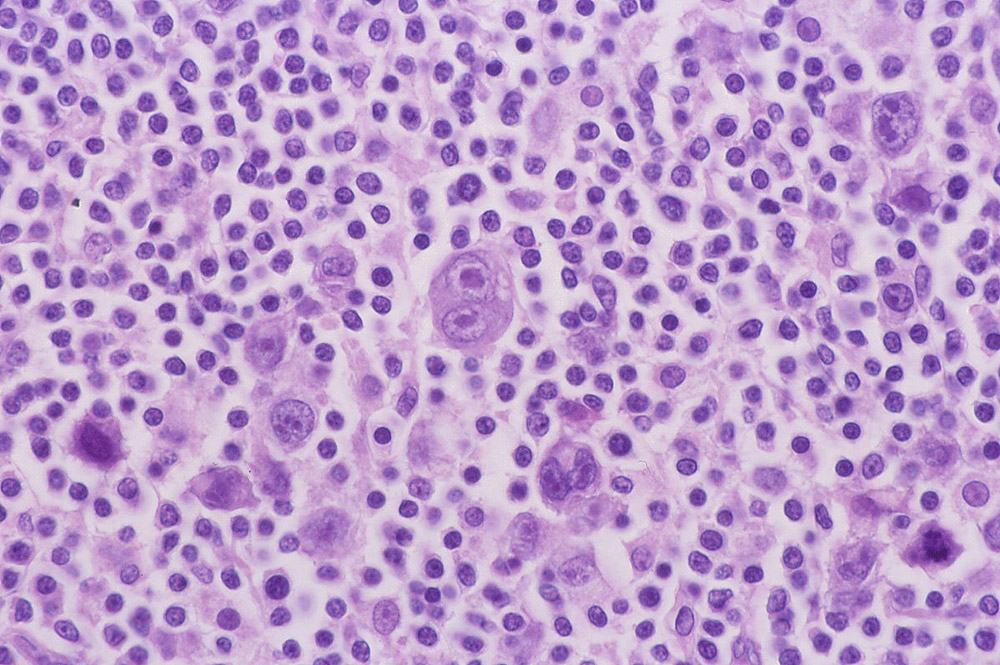
- ホジキンリンパ腫(ホジキンリンパしゅ、英: Hodgkin's lymphoma, HL)は、悪性リンパ腫 の一分類で、病理組織学的にはホジキン細胞 (Hodgkin cell) ... 名前は1832年にこの 病気を発見したイギリスの医師トーマス・ホジキン(Thomas Hodgkin)にちなむ。
Related Pictures





★リンクテーブル★
[★]
- 英
- Hodgkin disease, nodular sclerosis
- 同
- NS型ホジキン病 Hodgkin disease, NS type
- 関
- ホジキン病
[★]
- 英
- Hodgkin disease, NS type
- 関
- 結節硬化型ホジキン病, ホジキン病